
بیماری های زنان
قرص مترونیدازول (Metronidazole) چیست؟
قرص مترونیدازول (Metronidazole) چیست؟ کاربردها، نحوه مصرف، عوارض و ارتباط آن با عفونت HPV و زگیل تنا...
زگیل تناسلی چیست؟
زگیل تناسلی چیست؟ تشخیص، علائم، تصاویر واقعی، راههای انتقال و نکات مهم درمانی
موضوع زگیل ت...
بیبی چک چیست؟ پیشرفتهترین راهنمای کامل تست بارداری خانگی
بیبی چک چیست؟ پیشرفتهترین راهنمای کامل تست بارداری خانگی از صفر تا صد + خطاها، نکات حرفهای...
کاپ قاعدگی چیست؟ راهنمای کامل استفاده، مزایا، معایب و نکات بهداشتی
کاپ قاعدگی چیست؟ راهنمای کامل استفاده، مزایا، معایب و نکات بهداشتی
کاپ قاعدگی یا Menstrual ...
علت درد در ناحیه تخمدان زنان: بررسی کامل علل رایج و جدی
علت درد در ناحیه تخمدان زنان: بررسی کامل علل رایج و جدی
علت درد در ناحیه تخمدان زنان یکی از شکایات ...
تایپ 16 و 18 ویروس HPV زگیل تناسلی
تایپ 16 و 18 ویروس HPV (اچپیوی) و زگیل تناسلی: مهمترین عامل خطر سرطان دهانه رحم + تشخیص، درمان و ...
تاثیر مکمل Q10 بر روی بیماری زگیل تناسلی یا HPV
تاثیر مکمل Q10 بر روی بیماری زگیل تناسلی یا HPV
Q10 یک آنتیاکسیدان بسیار قوی است که به ط...
HSV چیست؟
ویروس هرپس سیمپلکس و ساختار ویروس Herpes simplex virus (HSV) چیست:
HSV چیست؟ این ویروس، که به عنوا...
آیا درمان قطعی برای زگیل تناسلی یا HPV وجود دارد؟
راهنمای جامع زگیل تناسلی (HPV): علائم، تشخیص دقیق، درمانها و نقش تقویت ایمنی
زگیل تناسلی یکی از شا...
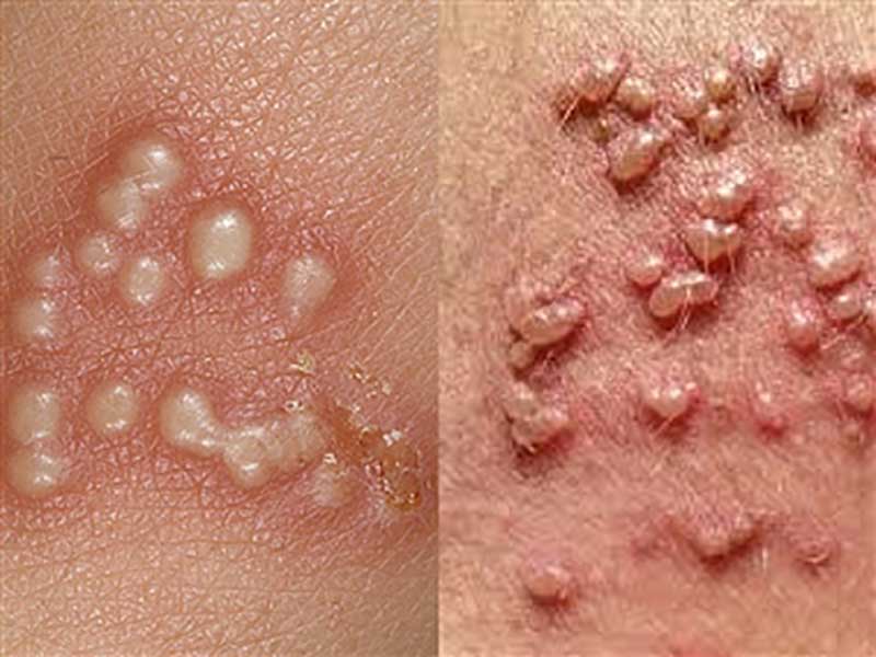
تفاوت زگیل تناسلی با تبخال تناسلی چیست؟
تفاوت زگیل تناسلی HPV با تبخال تناسلی HSV چیست؟
تفاوت زگیل تناسلی با تبخال تناسلی، هردو دو نوع از ب...















